![]() |
![]() |
|
||||||||||||||||
![]() |
|
![]() |
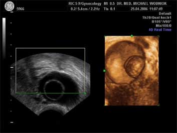
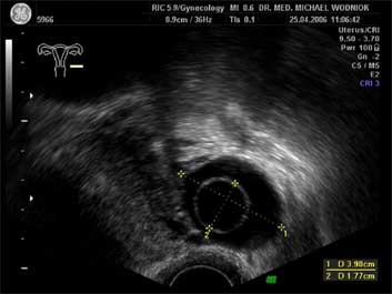
Ultraschall des kleinen Beckens mit der Vaginalsonde Die Ultraschalluntersuchung ist ein bildgebendes Verfahren, welches die Reflektion oder Echos von Ultraschallwellen in den unterschiedlichen Geweben und Organen ausnützt um computergestützt Schnittbilder aus dem Inneren des Körpers zu erstellen. Durch moderne hochleistungsfähige Mikroprozessoren ist es in den letzten Jahren möglich geworden, auch 3-dimensionale oder sogar bewegte 3-dimensionale (4-D) Bilder bzw. Bildsequenzen zu erzeugen. Beides können wir Ihnen in der Praxis anbieten. Eine Ultraschalluntersuchung ist ungefährlich und schmerzfrei. Durch die Anwendung von Dopplerverfahren, mit welchen wir den Blutfluss in den Organen feststellen und messen können, erweitern wir die Untersuchung um die funktionelle Dimension. Ein weiterer Bestandteil unseres Leistungsspektrums ist die farbkodierte Dopplersonographie. Farbkodiert sind entweder die Richtung des Blutflusses oder dessen Intensität. Über die computergestütze Berechnung des Blutflusswiderstandes ist im Einzelnen eine Aussage bzw. Vorhersage über die qualitative und quantitative Durchblutung möglich. (Plazentadurchblutung, kindliche Blutgefässe, Durchblutungsmuster bei verschiedenen Tumoren des Unterleibes und der Brustdrüsen) Ultraschalluntersuchungen haben in unserem Fachgebiet vielfältige Anwendungsmöglichkeiten gefunden. Besonders faszinierend ist der Einsatz im Bereich der vorgeburtlichen Diagnostik. Bereits in der 10. Schwangerschaftswoche ist es möglich, die Extremitäten des Embryos darzustellen und Aussagen zum Körperumrissbild zu machen (Ausschluss von Spaltbildungen, Nackentransparenzmessung). Auch im Bereich der Gynäkologie ist die Bedeutung des Ultraschalls stetig gewachsen und hat sich als erweiterte Vorsorge etabliert. Durch die vaginale Ultraschalluntersuchung können bereits kleine Veränderungen entdeckt werden, die sich der manuellen Tastuntersuchung noch entziehen. Auffällige Tastbefunde an den Eierstöcken sind durch den Einsatz von 3D / 4D in Kombination mit der Farbdoppleruntersuchung besser interpretierbar und können dadurch Frauen unnötige abklärende Operation ersparen. Die Anwendung des 3D Ultraschall, insbesondere im Coronarschnitt, lässt eine effektive Beurteilung für Veränderungen (Polypen, Karzinome) der Gebärmutterschleimhaut zu. ![]() ![]() ![]() ![]()
|
|||||||||||||||